●骨粗鬆症の治療について●
最近、腰、膝、背骨などに痛みを感じる。身長が2cm以上急に低くなった。
転倒時の骨折が心配で何とか改善したい。
診察時間: 診療は、随時行っております。
治療方針: まず、診察させていただき、症状をお伺いします。基本的に骨密度の測定を行います。
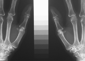
●骨密度の測定
両手のX線写真手からデジタル画像処理を行い 高価な測定法(図2)は行えません。
骨密度(図1)を測定します。
外科治療(脊椎や股関節の手術を行う)や
研究を必要としないために行いません。
図1 図2


●尿中NTX検査 (薬剤の効果判定や骨の吸収の程度を判定する重要な検査です。)
検査測定方法: 受診時採尿コップ、採尿チューブを自宅に持って帰っていただきます。
通常、起床後2回目の尿(第2尿)を取っていただきます。
●検査結果 骨密度、尿中NTX値を説明し検査結果表をお渡しします。
骨塩定量検査
尿中NTX定量
簡単な結果説明: 骨密度は、銀行預金残高、尿中NTX値は、1日に使うお金とたとえられます。
治療の方法は、お金を増やす方法とお金を使わないようにする方法にたとえて治療されます。
●治療方法 食餌療法、運動療法、薬剤療法を患者様の状態に合わせて治療を行います。
○ 間瀬医院への質問、 E-mail はこちらに出してください。 速やかにご返事いたします。
Auther: Takenori Mase
Copyright (c) 1996, TM Pro.Inc., All rights
reserved.